Set 11 Acute Leukemias
Slide 53 of 100 Image ID 2177

Keywords
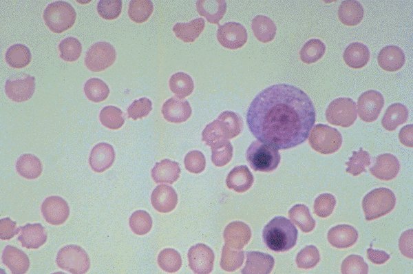
M6 - Erythroleukemia, PB


Description
A high dry view of the Wright's stained peripheral
blood is seen in this slide. The patient's
diagnosis was ANLL M6. Two late erythroblasts
and one much less mature cell are seen in this
picture. There is some poikilocytosis and
anisocytosis.

Click on this image
to enlarge it, then
on Back botton
in the Netscape Menu
to shrink it back down