Set 11 Acute Leukemias
Slide 55 of 100 Image ID 2209

Keywords
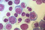
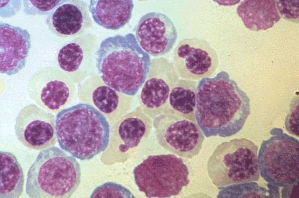
M6 - Erythroleukemia, BMA


Description
This is a low oil view of a Wright's stained bone
marrow aspirate in a patient with acute non-
lymphoblastic leukemia, FAB classification M6.
Virtually all of the cells in the field are neoplastic
erythroblasts and the nuclear chromatin
abnormalities can be clearly appreciated in
virtually all of these cells. This particularly applies
to the chromatin beading and the increased
parachromatin, as well as some abnormal
nuclear divisions.

Click on this image
to enlarge it, then
on Back botton
in the Netscape Menu
to shrink it back down