Set 11 Acute Leukemias
Slide 61 of 100 Image ID 2484

Keywords
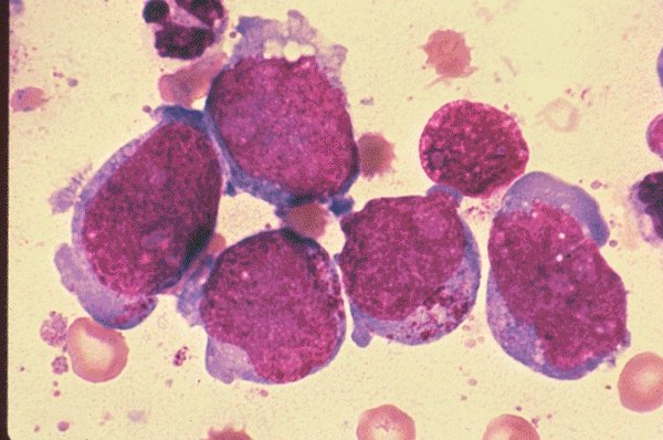
M7 - Acute Megakaryocytic, (Philadelphia +), BMA


Description
Several blasts in a bone marrow smear from a
patient who presented with a clinical appearence
of acute myelogeneous leukemia. Karyotypic
analysis showed a Philadelphia chromosome.

Click on this image
to enlarge it, then
on Back botton
in the Netscape Menu
to shrink it back down