Set 11 Acute Leukemias
Slide 62 of 100 Image ID 2222

Keywords
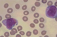
M7 - Acute Megakaryocytic, PB


Description
ANLL M7: Wright's stained peripheral blood
smear showing two immature leukemic
megakaryoblasts. Other studies were required to
confirm their identity.

Click on this image
to enlarge it, then
on Back botton
in the Netscape Menu
to shrink it back down