Set 11 Acute Leukemias
Slide 76 of 100 Image ID 3244

Keywords
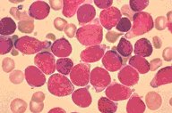
L1, BMA


Description
This is a low oil view of a bone marrow aspirate in
a patient with acute lymphoblastic leukemia, FAB
classification L1. The very fine nuclear chromatin,
nucleoli and the high nuclear to cytoplasmic ratio
all are characteristic of this diagnosis. The
monotonous appearance of these blasts is also
characteristic.

Click on this image
to enlarge it, then
on Back botton
in the Netscape Menu
to shrink it back down