Set 11 Acute Leukemias
Slide 77 of 100 Image ID 3245

Keywords
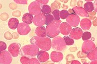
L1, BMA


Description
This is a Wright's stained bone marrow aspirate,
low oil magnification view, in a patient with acute
lymphoblastic leukemia. The FAB classification is
still L1, though lymphoblasts show more variation
in size and morphology than those in frame 11-76.

Click on this image
to enlarge it, then
on Back botton
in the Netscape Menu
to shrink it back down