Set 11 Acute Leukemias
Slide 78 of 100 Image ID 2485

Keywords
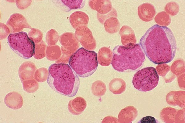
L2, (pediatric), (Philadelphia Positive), PB


Description
Blood smear from a seven year old male who
presented with markedly elevated white count with
approximately 60% lymphoblasts. Karyotypic
analysis showed the presence of a Philadelphia
chromosome. This case was classified as
Philadelphia chromosome positive acute
lymphoblastic leukemia.

Click on this image
to enlarge it, then
on Back botton
in the Netscape Menu
to shrink it back down