Set 11 Acute Leukemias
Slide 79 of 100 Image ID 3313

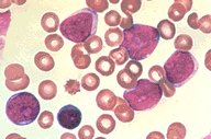
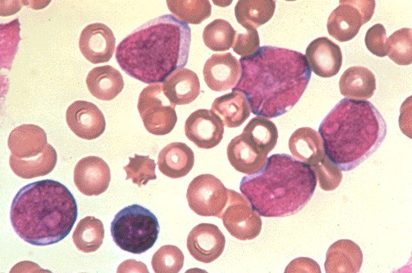
Keywords
L2, PB


Description
ALL L2: This low oil magnification view of the
Wright's stained peripheral blood shows five
blasts of the L2 surrounding a lymphocyte. These
blasts are somewhat large and variable in
morphology.

Click on this image
to enlarge it, then
on Back botton
in the Netscape Menu
to shrink it back down