Set 11 Acute Leukemias
Slide 84 of 100 Image ID 3312

Keywords
L2, BMA


Description
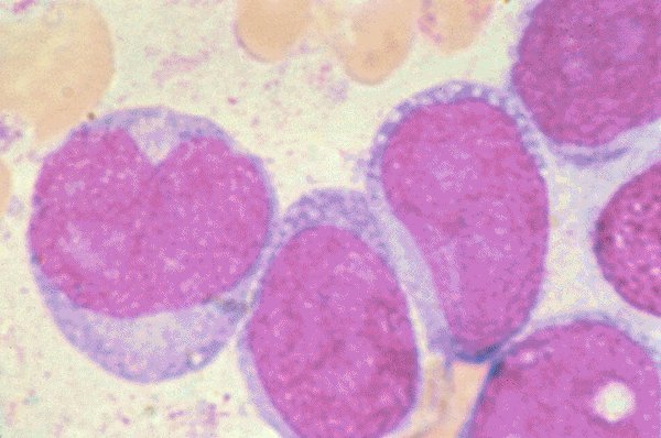
This is a very high oil magnification view of a
Wright's stained bone marrow aspiration in a
patient with acute lymphoblastic leukemia, FAB
classification L2. The very fine reticular nuclear
chromatin, the large nucleoli and the high nuclear
cytoplasmic ratio is present in most of the cells,
but there still is enough nuclear and cellular
distortion for at least two to have a monocytoid
appearance. Vacuoles are also seen in the
cytoplasm of the cells.

Click on this image
to enlarge it, then
on Back botton
in the Netscape Menu
to shrink it back down