Set 11 Acute Leukemias
Slide 85 of 100 Image ID 3251

Keywords
L2, BMA


Description
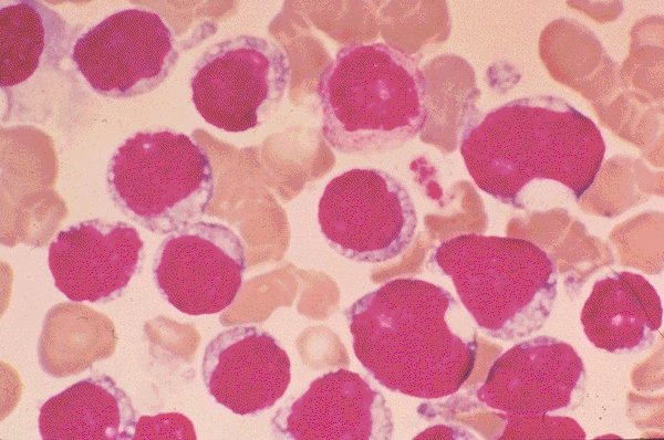
This is a Wright's stained view of a bone marrow
aspirate in a patient with acute lymphoblastic
leukemia, FAB classification L2. Nuclear variation
is seen in these cells and there seems to be a
somewhat more mature clumped nuclear
chromatin. Cytoplasmic vacuoles are also
present.

Click on this image
to enlarge it, then
on Back botton
in the Netscape Menu
to shrink it back down