Set 11 Acute Leukemias
Slide 89 of 100 Image ID 3343

Keywords
L3, BMA


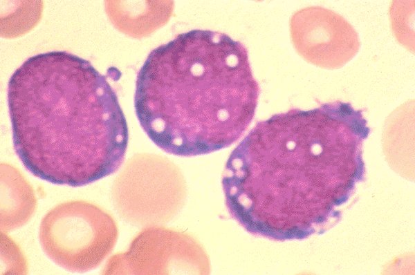
Description
This very high oil immersion view is from a bone
marrow of a patient with acute lymphoblastic
leukemia, FAB classification L3. Immature nuclear
chromatin is present, as are some nucleoli
particularly in the center cell. The cytoplasm is
heavily vacuolated and basophilic staining. The
cytoplasmic margins are irregular and there is
extensive nuclear vacuolization as well.

Click on this image
to enlarge it, then
on Back botton
in the Netscape Menu
to shrink it back down