Set 12 Introduction to Blood Morphology
Slide 11 of 48 Image ID 1236

Keywords
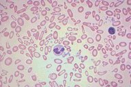
Severe iron deficiency anemia, Low-mag, PB,
(marked anisocytosis, poikilocytosis,
microcytosis, hypochromia)

Description
Low-power view of the peripheral blood in a
patient with severe iron deficiency anemia. A
normal lymphocyte is present (for comparison
purposes) to the right of center. Marked
anisocytosis and poikilocytosis can be
appreciated as can microcytosis and hypochromia.

Click on this image
to enlarge it, then
on Back botton
in the Netscape Menu
to shrink it back down