Set 12 Introduction to Blood Morphology
Slide 6B of 48 Image ID 1113

Keywords
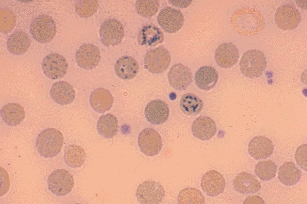
Reticulocytes, new methylene blue stain

Description
Reticulocytes. The dark purple reticulin in red
blood cells newly enetering the blood is
demonstrated by this new methylene blue stain.

Click on this image
to enlarge it, then
on Back botton
in the Netscape Menu
to shrink it back down