Set 12 Introduction to Blood Morphology
Slide 19A of 48 Image ID 987

Keywords
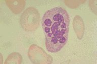
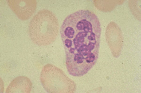
Pernicious anemia (neutrophil
hypersegmentation), high-oil mag

Description
Pernicious anemia. Marked neutrophil
hypersegmentation is seen in this high-oil
magnification field.

Click on this image
to enlarge it, then
on Back botton
in the Netscape Menu
to shrink it back down