Set 12 Introduction to Blood Morphology
Slide 19B of 48 Image ID 4435

Keywords
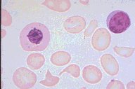
Pernicious anemia, PB, large lymphocyte,
macrocytosis, orthochromic megaloblast

Description
Peripheral blood in a patient showing a large
lymphocyte (top), macrocytosis and an
orthochromic megaloblast (bottom). Nuclear-
cytoplasmic disproportion is noted in the latter as
is beaded nuclear chromatin.

Click on this image
to enlarge it, then
on Back botton
in the Netscape Menu
to shrink it back down