Set 12 Introduction to Blood Morphology
Slide 20 of 48 Image ID 1004

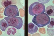
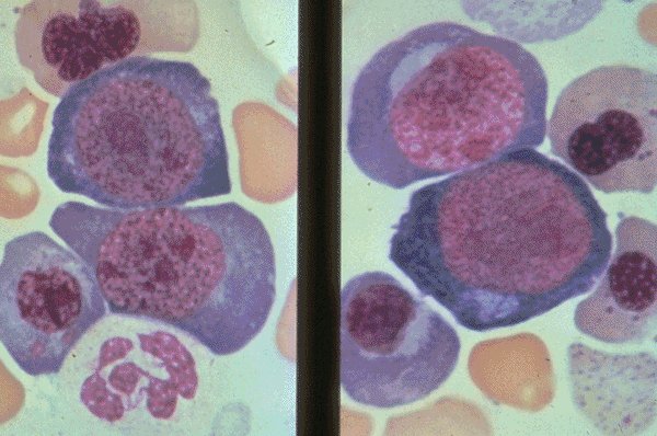
Keywords
Pernicious anemia, Megaloblasts, BMA, high-oil
mag

Description
Pernicious anemia. Megaloblasts in the bone
marrow aspirate at high-oil magnification.
Pervading both frames is the characteristic open,
beaded nuclear chromatin and nuclear-
cytoplasmic disproportion. (1) The large central
cell is a promegaloblast. (2) The large cell below
center is a basophilic megaloblast. The two cells
above are polychromatophilic megaloblasts.

Click on this image
to enlarge it, then
on Back botton
in the Netscape Menu
to shrink it back down