Set 12 Introduction to Blood Morphology
Slide 21B of 48 Image ID 2658

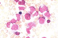
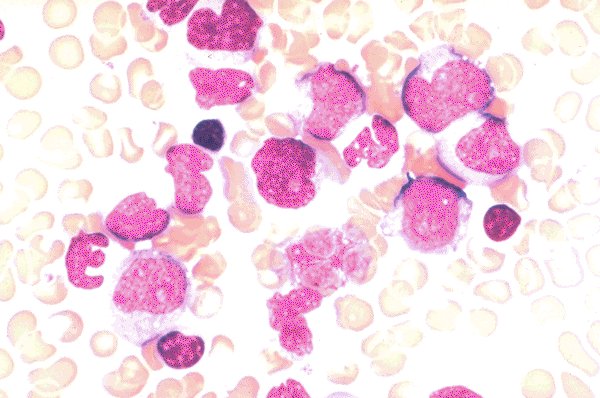
Keywords
Myelodysplasia, Refractory Anemia with excess
blasts in transition (RAEBT)

Description
Refractory Anemia with excess blasts in
transition (RAEBT). Several blasts with nucleoli as
well as abnormal red cells and granulocytes are
seen in this field.

Click on this image
to enlarge it, then
on Back botton
in the Netscape Menu
to shrink it back down