Set 12 Introduction to Blood Morphology
Slide 22 of 48 Image ID 2630

Keywords
Myelodysplasia, Refractory Anemia with ring
sideroblasts (RARB)(Lft)/RARB(Rt) iron-stain

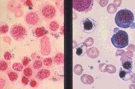
Description
Myelodisplasia. (1) Marked erythroid dyspoiesis
is seen in this high-dry view. Diagnosis was
Refractory anemia with ring sideroblasts (RARB).
(2) An iron-stain in the same patient showing
perinuclear rings of iron-laden mitochondria.

Click on this image
to enlarge it, then
on Back botton
in the Netscape Menu
to shrink it back down