Set 12 Introduction to Blood Morphology
Slide 25 of 48 Image ID 1667

Keywords
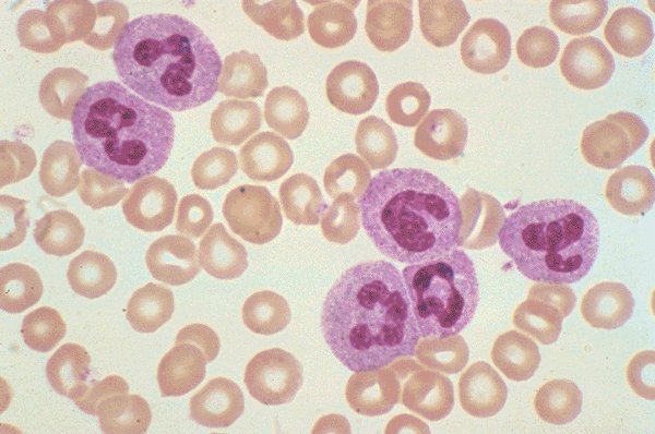
Neutrophilia, low-oil mag, PB

Description
Neutrophilia. Four segmented and two band
neutrophils are seen in this low-oil magnification
view of the peripheral blood. Some red blood
cells are slightly hypochromic.

Click on this image
to enlarge it, then
on Back botton
in the Netscape Menu
to shrink it back down