Set 12 Introduction to Blood Morphology
Slide 31B of 48 Image ID 2472

Keywords
Acute lymphoblastic leukemia (Philadelphia
chromosome positive)

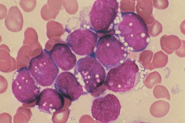
Description
Philadelphia chromosome positive acute
lymphoblastic leukemia. These blasts are shown
for comparison with the previous slide.

Click on this image
to enlarge it, then
on Back botton
in the Netscape Menu
to shrink it back down