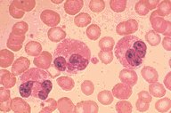
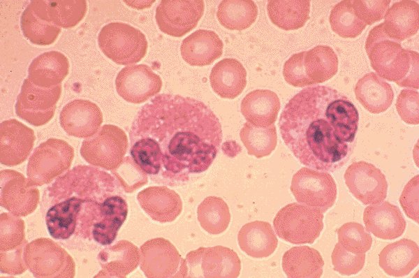
Set 12 Introduction to Blood Morphology
Slide 32A of 48 Image ID 1743

Keywords
Hypereosinophilic syndrome, high-oil, PB

Description
(1) Two eosinophils are shown from the
peripheral blood of a patient with the
Hypereosinophilic syndrome. The magnification
is high-oil.

Click on this image
to enlarge it, then
on Back botton
in the Netscape Menu
to shrink it back down