Set 12 Introduction to Blood Morphology
Slide 33A of 48 Image ID 3666

Keywords
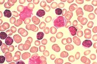
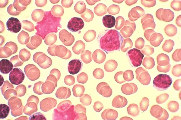
Chronic B cell lymphocytic leukemia, low-oil mag,
PB

Description
Chronic B cell lymphocytic leukemia. In this low-
oil magnification view of the peripheral blood, the
neoplastic lymphocytosis has been determined
to be B cell in nature. Two destroyed
lymphocytes are in the center.

Click on this image
to enlarge it, then
on Back botton
in the Netscape Menu
to shrink it back down