Set 12 Introduction to Blood Morphology
Slide 33B of 48 Image ID 3702

Keywords
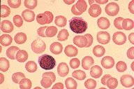
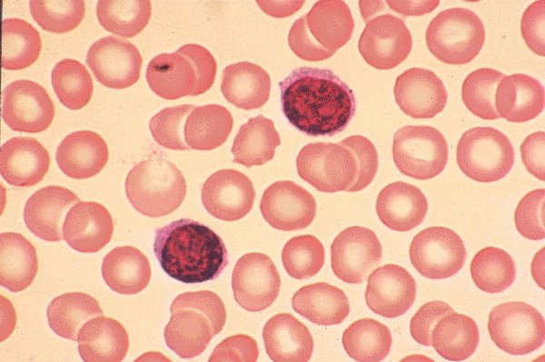
Chronic T cell lymphocytic leukemia, high-oil
mag, PB

Description
Chronic T cell lymphocytic leukemia. This is a
high-oil magnification view. The neoplastic
lymphocytes have been identified as T cells.

Click on this image
to enlarge it, then
on Back botton
in the Netscape Menu
to shrink it back down