Set 12 Introduction to Blood Morphology
Slide 34A of 48 Image ID 3633

Keywords
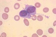
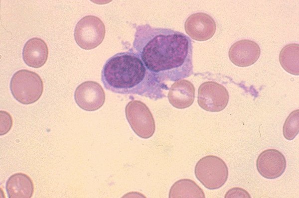
Hairy cell leukemia, high-oil mag, PB

Description
Hairy cell leukemia (HCL). This high-oil
magnification view of the peripheral blood shows
two "Hairy cells" with thin cytoplasmic projections
and reticular nuclear chromation.

Click on this image
to enlarge it, then
on Back botton
in the Netscape Menu
to shrink it back down