Set 12 Introduction to Blood Morphology
Slide 36A of 48 Image ID 2007

Keywords
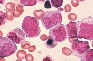
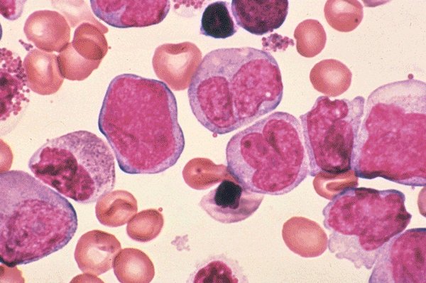
Acute non-lymphoblastic leukemia (M4)

Description
Acute non-lymphoblastic leukemia (M4). The
neoplastic blasts in the center of this field have
both monocytic and myeloid features.

Click on this image
to enlarge it, then
on Back botton
in the Netscape Menu
to shrink it back down