Set 12 Introduction to Blood Morphology
Slide 36B of 48 Image ID 2173

Keywords
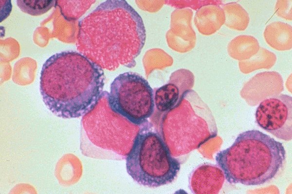
Acute non-lymphoblastic leukemia (M6)
(Erythroleukemia), high-oil mag

Description
Acute non-lymphoblastic leukemia (M6).
(Erythroleukemia). This high-oil magnification
field shows the range of abnormalities seen in
erythroleukemia. Most blasts have marked
nuclear dyspoiesis. Some are vacuolated. The
central blast could be myeloid.

Click on this image
to enlarge it, then
on Back botton
in the Netscape Menu
to shrink it back down