Set 12 Introduction to Blood Morphology
Slide 37A of 48 Image ID 2267

Keywords
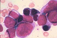
Acute non-lymphoblastic leukemia (M7)(Acute
megakaryocytic leukemia), high-oil mag, BMA

Description
Acute non-lymphoblastic leukemia (M7)(Acute
megakaryocytic leukemia). This high-oil
magnification view of a bone marrow aspirate
shows the large blasts characteristic of this
disease.

Click on this image
to enlarge it, then
on Back botton
in the Netscape Menu
to shrink it back down