Set 12 Introduction to Blood Morphology
Slide 38A of 48 Image ID 3242

Keywords
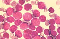
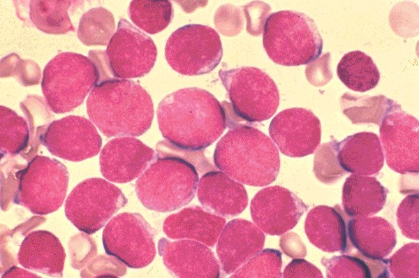
Acute lymphoblastic leukemia (L1), high-oil mag,
BMA

Description
Acute lymphoblastic leukemia (L1). This high-oil
magnification view of a bone marrow aspirate
shows L1 lymphoblasts which are moderately
uniform in size.

Click on this image
to enlarge it, then
on Back botton
in the Netscape Menu
to shrink it back down