Set 12 Introduction to Blood Morphology
Slide 39A of 48 Image ID 3253

Keywords
Acute lymphoblastic leukemia (L3)(Burkitt's),
high-oil mag, BMA

Description
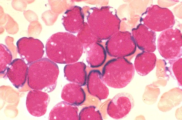
Acute lymphoblastic leukemia (L3). This high-oil
magnification view of a bone marrow aspirate
shows characteristics blasts of the L3 or Burkitt's
type. Cytoplasmic and nuclear vacuoles are seen.

Click on this image
to enlarge it, then
on Back botton
in the Netscape Menu
to shrink it back down