Set 12 Introduction to Blood Morphology
Slide 44 of 48 Image ID 4431

Keywords
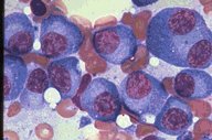
Multiple myeloma, high-oil mag, BMA

Description
This high-oil magnification view is of a bone
marrow aspirate in a patient with multiple
myeloma. All cells in this field are neoplastic
myeloma cells. The nuclei are pleomorphic and
eccentric and the cytoplasm is a grey-blue.
One cell is binucleate.

Click on this image
to enlarge it, then
on Back botton
in the Netscape Menu
to shrink it back down