Set 12 Introduction to Blood Morphology
Slide 45A of 48 Image ID 3796

Keywords
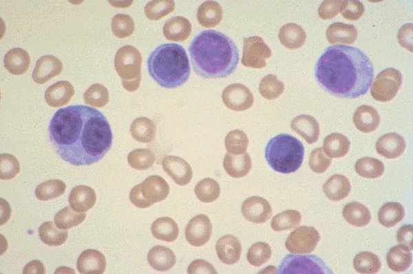
Acute plasma cell leukemia, low-oil mag, PB

Description
Low-oil magnification view is of the blood in a patient
with acute plasma cell leukemia. Five neoplastic
plasma cells (one of which is binucleate) are seen
in this field. There is some anisocytosis and
hypochromia.

Click on this image
to enlarge it, then
on Back botton
in the Netscape Menu
to shrink it back down