Set 12 Introduction to Blood Morphology
Slide 47B of 48 Image ID 4160

Keywords
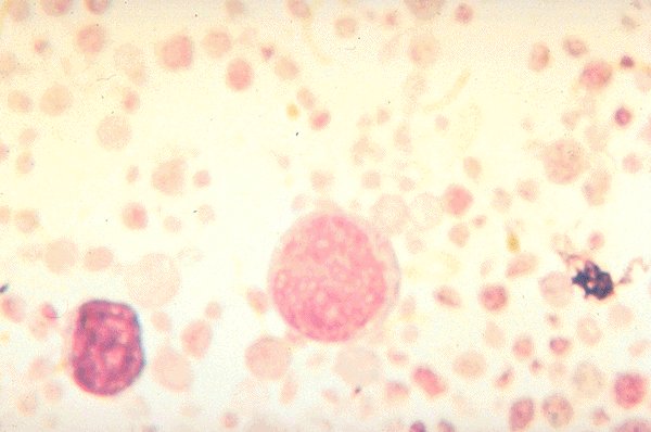
Essential thrombocythemia, high-oil mag, PB

Description
High-oil magnification view of the blood in a
patient with essential thrombocythemia. Massive
thrombocytosis is noted as is variation in platelet
size and a giant platelet.

Click on this image
to enlarge it, then
on Back botton
in the Netscape Menu
to shrink it back down