Set 3 Normal and Abnormal Bone Marrow Biopsies
Slide 1 of 192 Image ID 518

Keywords
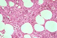
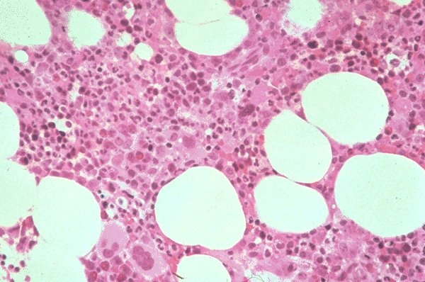
Normal marrow

Description
This bone marrow biopsy is stained with H&E and
is shown at low power magnification. The general
cellularity is normal and a few larger
megakaryocytes are appreciated. The remainder
of the morphologic characteristics of the cells are
somewhat more difficult to appreciate at this
power.

Click on this image
to enlarge it, then
on Back buttom
in the Netscape Menu
to shrink it back down