Set 3 Normal and Abnormal Bone Marrow Biopsies

Slide 2 of 192 Image ID 528
Keywords
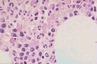
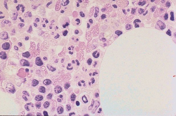
Normal marrow

Description
This is a bone marrow biopsy under high dry
power. The stain is H&E. Normal distribution of
myeloid and erythroid cells as well as
background cells can be appreciated, as can the
degree of cellularity.

Click on this image
to enlarge it, then
on Back botton
in the Netscape Menu
to shrink it back down