Set 3 Normal and Abnormal Bone Marrow Biopsies
Slide 3 of 192 Image ID 520

Keywords
Normal marrow

Description
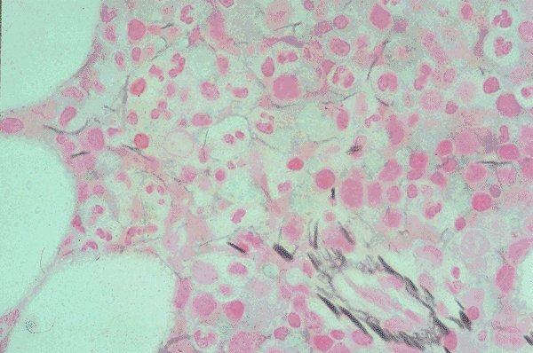
This is a power view of a normal bone marrow
biopsy stained for reticulin. The fibers are seen in
a somewhat normal distribution and show up with
a darker stain.

Click on this image
to enlarge it, then
on Back buttom
in the Netscape Menu
to shrink it back down