Set 3 Normal and Abnormal Bone Marrow Biopsies
Slide 4 of 192 Image ID 522

Keywords
Normal marrow

Description
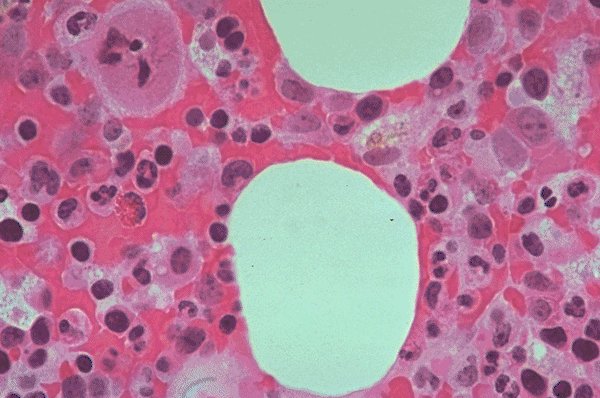
A high dry power view of a normal bone marrow
specimen. Two megakaryocytes can be
appreciated, as can erythroid and myeloid
elements.

Click on this image
to enlarge it, then
on Back buttom
in the Netscape Menu
to shrink it back down