Set 3 Normal and Abnormal Bone Marrow Biopsies
Slide 5 of 192 Image ID 641

Keywords
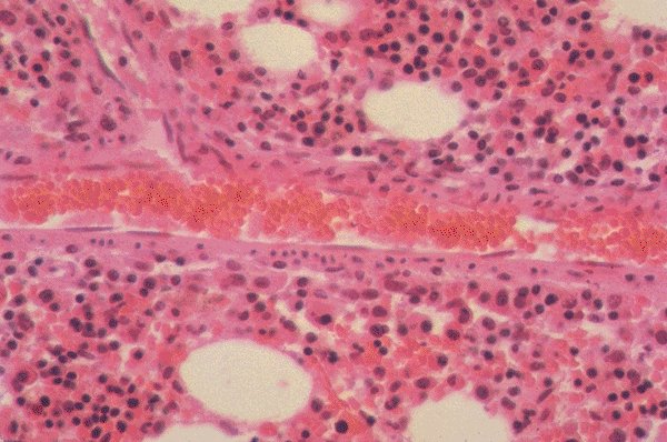
Normal marrow with a transverse section of
blood vessel

Description
Normal bone marrow biopsy, H&E stain, low
power magnification. This section has cut
longitudinally through a small blood vessel.

Click on this image
to enlarge it, then
on Back buttom
in the Netscape Menu
to shrink it back down