Set 3 Normal and Abnormal Bone Marrow Biopsies
Slide 12 of 192 Image ID 775

Keywords
Aplastic anemia

Description
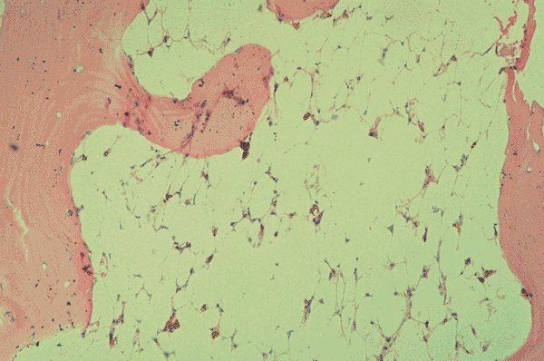
This bone marrow biopsy stained with H&E is
virtually devoid of any cellular elements except
some stroma. This is an H&E stain and the
specimen is from a patient with severe aplastic
anemia.

Click on this image
to enlarge it, then
on Back buttom
in the Netscape Menu
to shrink it back down