Set 3 Normal and Abnormal Bone Marrow Biopsies
Slide 11 of 192 Image ID 771

Keywords
Bone marrow hypocellularity

Description
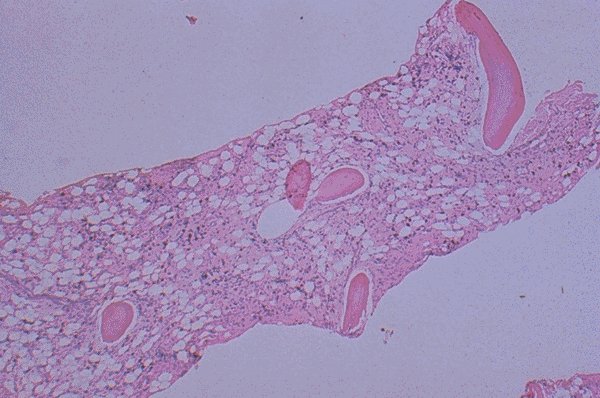
This very low power of a bone marrow biopsy
stained with H&E shows a specimen which is
moderately hypocellular compared to the normal
specimens above.

Click on this image
to enlarge it, then
on Back buttom
in the Netscape Menu
to shrink it back down