Set 3 Normal and Abnormal Bone Marrow Biopsies
Slide 10 of 192 Image ID 743

Keywords
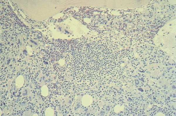
Polycythemia vera with lymph follicles

Description
This very low power view of a bone marrow biopsy
is from a patient with polycythemia vera. Again the
extensive cellularity can be noted, as can a
lymphoid follicle.

Click on this image
to enlarge it, then
on Back buttom
in the Netscape Menu
to shrink it back down