Set 3 Normal and Abnormal Bone Marrow Biopsies
Slide 9 of 192 Image ID 731

Keywords
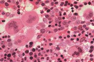
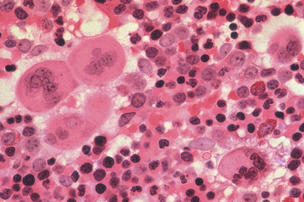
Polycythemia vera

Description
This H&E stained bone marrow biopsy is seen at
high dry magnification. The megakaryocytes can
again clearly be appreciated, as can increased
number of erythroid precursors which are
identified by their coal black, pyknotic nuclei.

Click on this image
to enlarge it, then
on Back buttom
in the Netscape Menu
to shrink it back down