Set 3 Normal and Abnormal Bone Marrow Biopsies
Slide 8 of 192 Image ID 729

Keywords
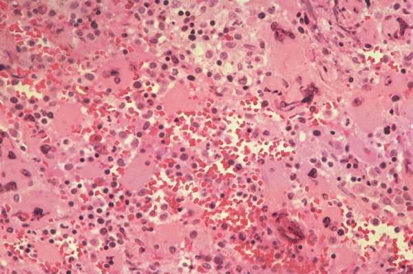
Polycythemia vera

Description
This bone marrow biopsy is seen at very low
power and shows the marked cellularity and
modest fibrosis in a patient with polycythemia
vera. Multiple megakaryocytes are also seen.

Click on this image
to enlarge it, then
on Back buttom
in the Netscape Menu
to shrink it back down