Set 3 Normal and Abnormal Bone Marrow Biopsies
Slide 7 of 192 Image ID 664

Keywords
Benign collection of lymphocytes

Description
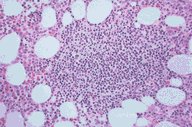
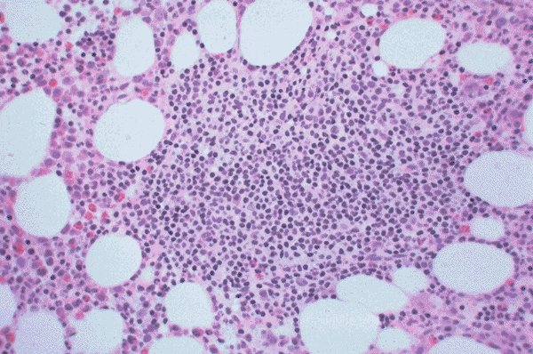
This very low power view of a bone marrow
biopsy, stained with H&E, shows a normal
lymphoid aggregate. The location is not
paratrabecular.

Click on this image
to enlarge it, then
on Back buttom
in the Netscape Menu
to shrink it back down