Set 4 Hematopathology of Lymph Nodes, Spleen, and Other Organs
Slide 1 of 212 Image ID 4612

Keywords
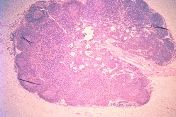
Normal lymph node

Description
An extremely low power view of an H&E stained
lymph node is seen in this photomicrograph.
Follicles are noted in the cortical area and these
are differentiated from the non-follicular portions
of the node. Vascular structures are also seen.

Click on this image
to enlarge it, then
on Back botton
in the Netscape Menu
to shrink it back down