Set 4 Hematopathology of Lymph Nodes, Spleen, and Other Organs
Slide 11 of 212 Image ID 4618

Keywords
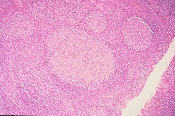
Normal tonsil

Description
This is a very low power view of a tonsil seen in
cross section and stained with H&E. The
follicular nature of this tonsilar tissue is readily
apparent.

Click on this image
to enlarge it, then
on Back botton
in the Netscape Menu
to shrink it back down