Set 4 Hematopathology of Lymph Nodes, Spleen, and Other Organs
Slide 10 of 212 Image ID 4617

Keywords
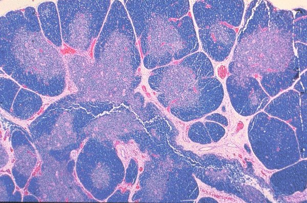
Thymus (newborn)

Description
This H&E stained view is of a thymus gland from a
newborn. The cortical and medulary areas can be
appreciated.

Click on this image
to enlarge it, then
on Back botton
in the Netscape Menu
to shrink it back down