Set 4 Hematopathology of Lymph Nodes, Spleen, and Other Organs
Slide 9 of 212 Image ID 4616

Keywords
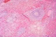
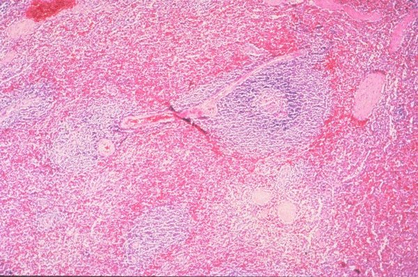
Normal spleen

Description
This is a very low power view of a section of
spleen which has been stained with H&E. The
vascular structures, sinusoids, and intervening
lymphoid areas can be appreciated.

Click on this image
to enlarge it, then
on Back botton
in the Netscape Menu
to shrink it back down