Set 4 Hematopathology of Lymph Nodes, Spleen, and Other Organs
Slide 8 of 212 Image ID 3011

Keywords
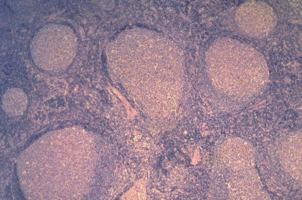
Follicular hyperplasia

Description
This is a very low power H&E stained view of a
lymph node showing marked follicular hyperplasia.
Both central and cortical areas are markedly
hyperplastic in terms of cell number and follicles.

Click on this image
to enlarge it, then
on Back botton
in the Netscape Menu
to shrink it back down