Set 4 Hematopathology of Lymph Nodes, Spleen, and Other Organs
Slide 7 of 212 Image ID 1737

Keywords
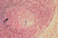
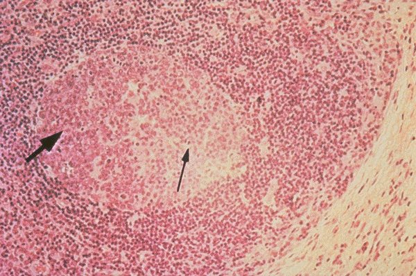
Normal reactive follicle


Description
This is a very low power H&E view of a normal,
non-malignant, reactive lymph node. Follicular
hyperplasia is seen, both in the central and
cortical areas.

Click on this image
to enlarge it, then
on Back botton
in the Netscape Menu
to shrink it back down