Set 4 Hematopathology of Lymph Nodes, Spleen, and Other Organs
Slide 4 of 212 Image ID 4615

Keywords
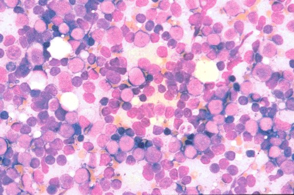
Normal lymph node imprint


Description
A normal lymph node imprint is seen. This has
been stained with Wright's stain and the normal
distribution of lymphoid cells is seen.

Click on this image
to enlarge it, then
on Back botton
in the Netscape Menu
to shrink it back down